起搏器植入术是治疗心律失常的重要手段,但在患者或手术相关的多种高危因素影响下有可能发生起搏器相关感染。感染不仅能造成局部伤口破溃,甚至导致感染性心内膜炎,一旦发病,如果治疗不及时,很可能会发生严重的并发症,甚至危及生命。
近日,北京大学人民医院心内科团队与多学科协作,成功为一位感染性心内膜炎76岁高龄、多基础疾病患者完整移除“感染”的心脏起搏器和定时炸弹“巨大赘生物”,为患者成功解除“心头大患”。
反复发热,寻因竟是感染了“它”
现年76岁的王大爷(此为化名),自去年起便频繁遭遇发烧的困扰,几乎成了医院的常客。当地医院初步诊断为“上呼吸道感染”,并持续给予抗生素治疗。然而,就在一个月前,王大爷的发烧症状前出现了新的预兆——全身剧烈发抖,感觉异常寒冷。
见状,家人连忙将老人再次送往医院,继续接受抗生素输液治疗,但体温仍时有升高。化验结果令人震惊,患者的血液中竟然检测出了金黄色葡萄球菌。
一般而言,体内出现金黄色葡萄球菌往往意味着发生了金黄色葡萄球菌血源性感染。这突如其来的结果让家人心急如焚。在当地专家和朋友的推荐下,王家人决定慕名前往北京大学人民医院寻求救治。
追查真凶,竟是“救命神器”惹的祸
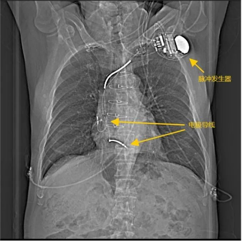
心内科李学斌教授仔细询问了王大爷病史,发现王大爷5年前因为心肌梗死后心力衰竭、阵发性室性心动过速在外院植入了埋藏式心脏复律除颤。
埋藏式心脏复律除颤器(ICD),ICD具有抗心动过缓、抗心动过速、低能电转复,以及高能电除颤等多种功能,是治疗危及生命的室性快速心律失常(心室颤动和室性心动过速)的一个多功能、多程控参数的电子装置,常被称为是装在身体里的“救命神器”。
这个“救命神器”有一个脉冲发生器埋藏在左侧锁骨下方皮肤里,还连接两根电极植入到心腔内,可以在王大爷再次出现室性心动过速甚至室颤时,迅速自动使脉冲发生器充电并发放电击能量(整个过程仅15秒左右),及时终止室速、室颤,挽救生命。
王大爷回忆道,在3个月前,植入ICD脉冲发生器的部位曾经2次出现皮肤红肿、疼痛,当时涂抹了一些消肿的药膏后好转,也就没当回事儿。
“或许这个‘救命神器’就是造成患者反复发烧的原因!”经验丰富的李学斌教授立即开出了检查单——超声心动图和经食道超声心动图检查。
果然,检查发现王大爷心腔里的电极导线显著增粗,还有一低回声团块包绕,大小居然有4.2cm*1cm的赘生物,随着心跳不断的摆动着。
李教授立刻做出诊断:王大爷的反复发热的真凶是因为植入体内的ICD发生了感染,而且已经发展到感染性心内膜炎,金黄色葡萄球菌定植在电极导线上形成了巨大赘生物,且随血源播散。
感染性心内膜炎是起搏系统感染当中最严重的一种类型,进展迅速、多系统损害,死亡率极高,必须尽早、完整的移除整个起搏系统,包括脉冲发生器和两根电极导线,同时联合针对性抗生素治疗,才能为王大爷解除危机!
MDT+患者信任,医患齐心突破治疗瓶颈
诊断明确,但王大爷治疗方案又成了棘手难题。根据欧洲心律学协会(EHRA)如何预防、诊断和治疗心脏植入式电子设备感染的国际《共识》,超过2cm的心腔内赘生物,通过内科拔除很有可能出现赘生物脱落,脱落的赘生物会随着血流进入肺动脉,引起急性肺栓塞,甚至可能致命,尤其是超过3cm的赘生物,应该首选——外科开胸手术,移除起搏器电极。
但是,王大爷19年前就因为冠脉三支病变做过开胸冠脉搭桥手术,5年前再次心肌梗死于前降支植入1枚支架,入院后评估冠脉CT提示:右冠的桥血管闭塞。多方结果显示,王大爷自身冠脉血管存在多发狭窄及闭塞,冠脉情况并不稳定;且左室射血分数仅28%,表明患者反复慢性的心肌缺血已经严重影响心脏功能,心脏泵血功能严重受损,处于重度心衰状态。除此之外,王大爷还同时伴有糖尿病、贫血、慢性肾功能不全以及低白蛋白血症等多种基础疾病,身体整体基础状况较薄弱,还能耐受再一次的开胸手术吗?
面对如此两难的抉择,医务处立即组织了MDT多学科会诊。由医务处王晶桐处长主持,心外科、麻醉科、感染科、医务处参与,各学科专家一致认可必须尽早进行起搏系统的完全移除来抢得生机,并重点讨论了经内科拔除电极和外科开胸术两种方案的可行性和各自利弊。最终决定,该患者基础疾病多、开胸治疗风险过高,可考虑更为稳妥的方案——在多学科保驾下尝试内科拔除起搏器电极。
“《共识》是普适性的推荐意见,当患者存在特殊临床情况,需结合患者的具体情况制定个体化的治疗方案,是对患者更负责,同时更加保证医疗安全。”王晶桐处长指出。
医生向患者及家属充分交待了手术方案的选择及可能面临的风险,患者及家属表示完全理解、信任,并全力配合一切治疗。来自患者和家属的信任,无疑也给成功救治增加了更多的信心。
多学科助力,“首创方案”展团队实力
制定手术方案后,李学斌教授团队立即启动手术的准备工作,为手术中可能出现的各种可能性制定应对措施。
王大爷手术最大风险是拔除过程中电极上巨大赘生物脱落。经与血管外科、心外科专家多次沟通,最终决定将静脉滤器放置在肺动脉处,以阻挡手术过程中较大赘生物进入肺动脉、降低死亡风险,这在国内甚至国际上均属首创方案。
同时,心外科刘刚副主任医师、血管外科张学民主任医师、麻醉科周燕艳主治医师齐聚导管室备台保驾,随时应对可能出现的各种并发症。
一切准备就绪后,王大爷接受了经静脉系统的拔除。李学斌教授团队将静脉滤器置于肺动脉,从锁骨下静脉途径使用锁定钢丝、激光鞘等多种工具,成功为王大爷拔除了心腔内的电极。术中患者血压、血氧平稳,没有出现急性肺栓塞及其他并发症。
整个过程虽充满紧张与挑战,但终究化险为夷。当导管室外紧张待命的医护人员们看到电极被顺利拔除的那一刻,都忍不住激动的鼓掌庆祝。尽管过程异常艰难,但见到患者安然度过危机,重获新生,且感染性心内膜炎的病源被彻底清除,所有的辛劳与付出都瞬间变得意义非凡。
如此复杂手术能够顺利完成,充分展现了国家队过硬的实力和专业水平。
“类似王大爷这样的患者,绝非个案,针对每一位患者我们都应该在充分评估后形成个体化的处理方案,确保患者的医疗安全,始终是我们的首要目标。同时,也呼吁同道们重视起搏系统感染的及时、规范化治疗。”李学斌教授强调道。
自2007年以来,李学斌教授带领团队关注心律植入装置感染及其他并发症的处置,致力于建立规范化的电极导线管理体系,积累了丰富的临床经验,开创了个体化电极管理及再植入的综合管理流程,至今已累计为4000余名患者解决了棘手的电极导线问题,成为最大的起搏器“4S中心”。
目前,王大爷术后恢复情况良好,待菌血症完全控制后将再次接受ICD植入,为他的生命再次保驾护航。
(供稿:心血管内科 吴寸草、刘少辉 宣传中心 钟艳宇 责编:张贺)












